Narodenie dieťaťa s chybou na chrbte: Komplexný pohľad na predčasne narodené deti a ich výzvy
Narodenie dieťaťa je pre väčšinu rodičov najkrajším okamihom v ich živote. Všetci si prajú, aby sa im narodilo živé a zdravé. Avšak, realita prináša aj prípady, kedy príchod nového človiečika na svet sprevádzajú nečakané komplikácie. Jedným z takýchto menej častých, no o to viac znepokojujúcich javov, je aj narodenie dieťaťa s anomáliou na chrbte. Tento článok sa podrobne venuje problematike predčasných pôrodov, výzvam, ktorým čelia predčasne narodené deti, ich špecifickým potrebám, ako aj menej častým, no o to zaujímavejším prípadom, ako je napríklad dieťa narodené s chybou na chrbte. Budeme sa venovať aj vývoju lebky novorodencov a deformáciám hlavičky, ktoré môžu rodičov znepokojovať.
Predčasné pôrody na Slovensku a vo svete
Na Slovensku sa každoročne z celkového počtu 55 000 až 60 000 narodených detí približne 7 až 8 % narodí predčasne. Tento údaj naznačuje, že predčasný pôrod nie je ojedinelým javom a predstavuje významnú výzvu pre zdravotnícky systém aj pre rodiny postihnutých detí. Podľa Svetovej zdravotníckej organizácie je za predčasný pôrod považovaný každý pôrod pred ukončeným 37. týždňom tehotenstva. Tento deň vznikol z iniciatívy zvýšiť povedomie o predčasných pôrodoch, keďže sa na celom svete ročne narodí približne 13 miliónov novorodencov pred ukončeným 37. týždňom tehotenstva, pričom toto číslo sa neustále zvyšuje.
Vek matiek a hranica prežívania
Ďalším novodobým trendom je vyšší vek, v ktorom sa ženy rozhodujú pre materstvo. Tento posun v reprodukčnom správaní môže mať svoje dôsledky na priebeh tehotenstva a pôrodu. Predmetom neustálych diskusií je aj hranica prežívania (viability) extrémne nedonosených novorodencov, ktorá sa posúva do nižších vekových kategórií - týždňov tehotenstva. Na Slovensku je touto hranicou ukončený 24. týždeň tehotnosti. Sú však krajiny, kde je to 23. týždeň.
Klasifikácia predčasne narodených detí a ich potreby
Klasifikácia predčasne narodených detí je dôležitá z hľadiska potreby diferencovanej starostlivosti o ne. Rozlišujeme:
- Ľahko nezrelé: 32. až 36. týždeň tehotenstva.
- Stredne nezrelé: 28. až 31. týždeň tehotenstva.
- Extrémne nezrelé: pod 28. týždeň tehotenstva.
Najzraniteľnejšou skupinou sú extrémne nezrelí novorodenci, narodení pred 28. týždňom tehotenstva. Tvoria cca 5 % zo všetkých predčasne narodených detí. Vyžadujú vysokošpecializovanú a finančne náročnú zdravotnú starostlivosť v špecializovaných, tzv. perinatologických centrách. Z hľadiska starostlivosti o týchto novorodencov je prioritné nielen ich prežívanie, ale aj kvalita života a minimalizovanie rizika trvalých následkov. Pre ich ďalší osud je totižto dôležitá starostlivosť na vysokošpecializovanom neonatologickom pracovisku s potrebným prístrojovým vybavením a erudovaným zdravotníckym personálom. Našťastie, najväčšiu skupinu predčasne narodených novorodencov (takmer dve tretiny) tvoria novorodenci narodení medzi 34. až 36. týždňom tehotnosti.
Faktory spôsobujúce predčasný pôrod
Faktory, ktoré spôsobujú predčasný pôrod sú rôznorodé, môžu súvisieť s chorobnými stavmi matky, plodu, aj vonkajšími faktormi. Medzi najčastejšie patria:
- Gynekologické komplikácie: vrodené chyby maternice, myómy, viacplodové tehotenstvo, infekcie v tehotenstve, krvácanie v I. a II. trimestri.
- Chorobné stavy matky: vysoký krvný tlak, cukrovka, ochorenia obličiek.
- Problémy plodu: rastová reštrikcia, vrodené chyby plodu.
- Iné faktory: stres, fyzická námaha, úrazy.

Výzvy spojené s predčasným narodením
Predčasniatka nie sú úplne pripravené na život mimo maternice. Ich nezrelosť sa prejavuje v mnohých oblastiach:
Termolabilita
Vzhľadom k nízkym zásobám podkožného tuku a tenkej koži si nedokážu udržať telesnú teplotu a majú sklon podchladzovať sa. Preto je nevyhnutné ich udržiavať v stabilnej teplote, často v inkubátoroch.
Problémy s dýchaním
K najzávažnejším komplikáciám súvisiacim s prematuritou patrí syndróm dychovej tiesne. Je spôsobený nedostatočnou tvorbou surfaktantu (látky, ktorá sa tvorí v pľúcnych bunkách a zabraňuje kolapsu pľúcnych mechúrikov). Stupeň postihnutia závisí od gestačného veku a pridružených ochorení. Prejavuje sa úsilným, namáhavým a zrýchleným dýchaním, neadekvátnou výmenou krvných plynov a nedostatočným okysličením krvi kyslíkom. Liečba spočíva pri miernych formách v podávaní kyslíka a ventilačnej podpore, pri závažnejších formách je potrebná umelá pľúcna ventilácia a aplikácia surfaktantu do pľúc cez tenkú hadičku. Pokiaľ dieťa vyžaduje dlhodobú ventiláciu pľúc a nedarí sa ho odpojiť z ventilátora, hrozí riziko rozvoja chronického pľúcneho ochorenia, tzv. bronchopulmonálnej dysplázie.

Srdcovocievne komplikácie
Vo včasnom popôrodnom období často dochádza k obehovej nestabilite a výkyvom krvného tlaku, či už v dôsledku nedostatočných sťahov srdcového svalu alebo nedostatočnej tvorby stresových hormónov (kortizolu). Niekedy je potrebné na prechodné obdobie podporiť krvný tlak liekmi, aby sme predišli nedostatočnému okysličeniu tkanív a orgánov. K ďalším komplikáciám patrí otvorená artériová spojka medzi srdcovnicou a pľúcnicou.
Krvácanie do mozgových komôr
Predstavuje závažnú komplikáciu hlavne u ťažko prematúrnych novorodencov. Hlavnou príčinou je nezrelosť mozgového tkaniva aj ciev v okolí mozgových komôr a výkyvy krvného tlaku hlavne v prvých dňoch života.
Problémy s výživou
Predčasne narodené deti majú spomalenú pohyblivosť čriev, menej tráviacich enzýmov a spomalené vyprázdňovanie. Medzi pomerne časté komplikácie po záťaži tráviaceho traktu mliekom patrí nekrotizujúca enterokolitída. Je to zápalové ochorenie, ktoré postihuje rôzne dlhé úseky čreva, hlavne však koncovú časť tenkého čreva.
Metabolické a hematologické komplikácie
Predčasne narodené deti sú náchylnejšie aj na metabolické a hematologické problémy, ktoré vyžadujú špecifickú liečbu a monitorovanie.
Znížená obranyschopnosť
Imunitný systém predčasniatok je nezrelý a nedokáže účinne bojovať s infekciami. Nezrelý imunitný systém spolu s množstvom hadičiek a katétrov, od ktorých sú prvé dni a týždne závislé (vnútrožilová výživa, kanyla na podporu dýchania, močový katéter, atď.), ich robí extrémne zraniteľnými voči infekciám.
Očné komplikácie
Retinopatia nezrelých novorodencov je ochorenie, ktoré postihuje sietnicu vplyvom atypicky sa tvoriacich ciev. Ohrození sú hlavne extrémne nezrelí novorodenci, ktorých je potrebné pravidelne kontrolovať očným lekárom a v prípade potreby včas zasiahnuť.
Vývoj a rast lebky novorodenca
V počiatočných štádiách novorodeneckého života je pre lebku príznačná poddajnosť a mäkkosť, ktorá vo veľkej miere súvisí s jej neustálym vývojom. Jednotlivé lebečné kosti sú v rámci ľudskej kostry pospájané tzv. lebečnými švami. Do istého veku sa medzi týmito väzivovými spojmi, a teda aj medzi jednotlivými kosťami lebky, nachádzajú prázdne priestory. Tie poskytujú kostiam lebky dostatok miesta na to, aby mohli priebežne rásť a vyvíjať sa, čo koniec koncov vedie k rastu lebky ako komplexného celku. Lebka v priebehu prvého pol roka života dieťaťa nadobúda dvojnásobok svojej pôvodnej veľkosti, pričom do dvoch rokov sa jej veľkosť strojnásobuje. Rýchlosť rastu sa po siedmom roku dieťaťa znižuje, pričom medzi 16. až 18. rokom života dochádza k úplnému zrastaniu lebečných švov. Švy sú príznačné svojou elasticitou, ktorá sa postupne mení v tvrdšiu kosťovú štruktúru vzájomne spájajúcu konkrétne lebečné kosti. Tento proces je nevyhnutný pre správny vývoj mozgu a ochranu centrálnej nervovej sústavy.
Kraniostenóza vs. zležaná hlavička
Spomínaný proces zrastania lebečných švov je kľúčový pre zdravý vývoj. Ak však dôjde k predčasnému zrastaniu jedného alebo viacerých lebečných švov, spôsobuje to fakt, že sa dieťatku nedostatočne vyvinie lebka, čo vedie k eliminácii priestoru určeného na rast mozgu. Takýto jav sa v odbornej terminológii nazýva kraniostenózou. Ide o špecifickú deformáciu hlavičky bábätka, ktorá môže mať vážne dôsledky na vývoj mozgu.
Ak zrast lebečných švov prebieha správnym spôsobom, no predsa dôjde k istej hmatateľnej, často i viditeľnej deformácii lebky novorodenca, hovoríme o preležanej hlavičke bábätka. Táto deformácia je zvyčajne kozmetického charakteru a nezvykne ohroziť vývoj mozgu.

Príčiny vzniku deformácií hlavičky
Príčiny vzniku deformácií hlavičky môžu byť rôznorodé:
- Poloha na chrbte: Ponechávanie detí čo najdlhšie v polohe ležmo na chrbte, najmä v snahe zabrániť syndrómu náhleho úmrtia dojčiat (SIDS), môže viesť k splošteniu hlavičky, keďže lebka novorodencov a dojčiat je mäkká a prispôsobivá.
- Predčasné narodenie: Predčasne narodené deti majú mäkšiu lebku ako donosené dojčatá, čo ich robí náchylnejšími na deformácie.
- Tlak pri pôrode: Deformácia lebky dieťaťa môže nastať aj v dôsledku tlaku matky pri pôrode alebo neodvrátiteľnému pôrodu, keď ešte nie sú pôrodné cesty úplne naširoko otvorené. V počiatočných štádiách novorodeneckého života je pre lebku príznačná poddajnosť a mäkkosť, ktorá vo veľkej miere súvisí s jej neustálym vývojom.
- Nedostatok vitamínu D: Z interného hľadiska môže zležanie hlavičky spôsobiť i nedostatok vitamínu D, ktorý prispieva k pevnosti kostí. Dávkovanie vitamínu D je potrebné prispôsobiť rýchlosti rastu bábätka. Predčasne narodené deti totiž rastú a priberajú rýchlejšie ako donosené deti, čo znamená, že pre správny rast kostí potrebujú viac vitamínu D.
- Nízka hladina plodovej vody: Vzniknúť môže ešte v tehotenstve, keď došlo k vyvinutiu väčšieho tlaku na hlavičku plodu, čo zväčša zapríčiňuje nižšia miera plodovej vody obklopujúcej bábätko.
- Viacerčatá: Deformity častejšie majú dvojčatá a trojčatá.
Ako vyzerajú rôzne typy zležanej hlavičky?
Keďže má človek na výber niekoľko strán, spomedzi ktorých si môže zvoliť tú obľúbenú počas spánku či všeobecne v polohe ľahu, existuje aj niekoľko typov zležanej hlavičky. Odlišnosti medzi jednotlivými typmi zležanej hlavičky dieťaťa je možné pozorovať i voľným okom. Mnohokrát sa pri stanovení diagnózy, resp. pri identifikácii deformácie lebky pristupuje k premeraniu rozmerov hlavičky.
- Brachycefália: Pri brachycefálii je možné hovoriť o symetrickej deformite lebky bábätka s tvarom výraznejším z hľadiska šírky. Zležaná hlavička vzadu, resp. v oblasti záhlavia vytvára viditeľnú disproporciu hlavičky v strede tejto časti detskej hlávky. Ide o najčastejšie sa vyskytujúcu lebečnú deformáciu, pričom sa v jej tesnom závese nachádza vyššie uvedená symetrická brachycefália. Časť hlavičky bábätka, ktorej sploštenie je prominentnejšie, má určité črty tváre posunuté viac dopredu. Týka sa to najmä čela, ucha a oka.
- Plagiocefália: V prípade plagiocefálie ide o asymetrické preležanie hlavičky bábätka v oblasti záhlavia. Sploštenie hlavičky je prominentné len na jednej strane, čo vedie k výraznému rozdielu medzi stranou, ktorá pokračuje v správnom vývoji, a tou zležanou časťou detskej hlávky. Výraznými poznávacími znakmi asymetricky zležanej hlavičky bábätka sú nerovnosti tváre v podobe posunutých očí, čela a celej tváre smerom dopredu. Nerovnomerná je aj poloha uší, ktorú zapríčiňuje rovnobežníkovo pôsobiaci tvar hlavy, čo je identifikovateľné najmä z vtáčej perspektívy (resp. zhora).
- Dolichocefália (skafocefália): Kým v prípade brachycefálie ide o preležanie hlavičky bábätka vytvárajúce stlačenie do šírky, dolichocefália, tiež známa ako skafocefália, je príznačná úzkym a dlhým tvarom hlavičky. Dolichocefália je charakteristická pre bábätká, ktoré si z dôvodu predčasného narodenia vyžadujú špeciálnu starostlivosť v podobe inkubátorov, kde sú spravidla polohované výhradne na bok.
- Turicefália: Špecifickým typom deformácie lebky je turicefália, ku ktorej dochádza najmä v dôsledku vákuovej extrakcie plodu v priebehu pôrodu. Výsledkom takéhoto lekárskeho zákroku je výrazne vyduté temeno bábätka a hlavička pripomínajúca trojuholník s miernym zaoblením vo vrchnej časti. Ide o jediné zležanie hlavičky, ktoré hlávku deformuje do výšky, resp. vertikálne.

Prevencia a liečba deformácií hlavičky
Aby sa rodičia vyhli akejkoľvek potenciálnej deformite lebky, je potrebné, aby sa naučili čím skôr s dieťatkom zaobchádzať.
Polohovanie bábätka
- Striedanie strán: Ako v spánku, tak i v stave bdenia je podstatné, aby dieťatko striedalo strany. Slúži to ako prevencia voči preležaniu istej strany hlavičky bábätka. Slovíčko „mierne“ je podstatné preto, aby nedošlo k prevráteniu dieťatka na bruško, čo môže mať veľmi vážne následky. Novorodenci ešte nie sú schopní ovládať svoje svalstvo natoľko, aby vedeli obracať hlávku zo strany na stranu.
- Správne polohovanie: Správne polohovanie bábätka spočíva v pravidelnom striedaní strán, na ktoré hlavičku dieťaťa rodič otočí. Podstatné je taktiež polohovanie v rámci nosenia dieťatka na rukách. K zležanej hlavičke totiž môže dochádzať aj počas dojčenia, uspávania či hrania. Pri kojení, ako i uspávaní na rukách sa odporúča pravidelná výmena strán.
- Polohovanie na bruško: Bábätko by nemalo tráviť celý čas v ľahu na chrbátiku, a to ani to najmenšie. Doprajte mu aspoň 30 až 60 minút denne na brušku. Povzbudzujte ho v hre a v cvičení v tejto polohe, je to veľmi dôležité aj pre rozvoj svalov. Najskôr, keď je maličké začínajme tak, že si ho položíme na vlastný hrudník, neskôr ho môžeme dávať na brušku na deku či podložku priamo na podlahu.
- Zmena orientácie v postieľke: Je to dôležité i pre rovnomerný rozvoj svalov. Deti zvyknú otáčať hlavičku na miesto, kde sa nachádzajú dvere do izby, kadiaľ zvyknete prichádzať. Preto je dôležité, aby ste ich polohu pravidelne menili - aby na dvere videli z rôznych uhlov, zapájali rôzne svaly a najmä neležali stále na jednej strane hlavy. Môžete to robiť aj počas dňa napríklad tak, že dopoludnia bude otočené ľavou stranou k dverám, popoludní pravou.
Vankúš proti preležaniu hlavičky
Vankúš proti preležaniu hlavičky pôsobí jednak preventívne, jednak je možné jeho funkcie využiť aj pri liečení mierne zležanej hlavičky dieťaťa. Takéto vankúše na zležanú hlavičku je dnes možné zakúpiť v rôznych farbách a tvaroch zapadajúcich do akéhokoľvek konceptu detského hniezdočka či postieľky, ktorú si rodičia vysnívali. Niektorí odborníci však považujú tieto vankúše za marketingový ťah, pretože sú zbytočné, neotestované a môžu byť aj nebezpečné. Ergonomické vankúše, ktoré stoja okolo 30 eur radia preto radšej nepoužívať. Okrem iného i preto, že v detskej postieľke by minimálne prvého pol roka nemalo by vôbec nič - ani vankúš, prikrývky, ani hračky, či iné veci, ktoré by mohli spôsobiť dieťaťu problém. Je dôležité, aby dieťa spalo na rovnej podložke. Expertíza naznačuje, že u väčšiny detí sa problém sformovanej hlavičky napraví po tom, ako prestanú spávať na chrbátiku, do jedného alebo dvoch rokov.
Kraniálna ortéza (prilbička)
Ak polohovanie a ani vankúš na zležanú hlavičku nepomohli, alebo je typ preležanej hlavičky bábätka považovaný za vážnejší prípad, odborný lekár odporučí rodičom tzv. kraniálnu ortézu. Prilbička na zležanú hlavičku má najvyššiu pravdepodobnosť účinku v období medzi 4. a 18. mesiacom života dieťatka. Na prilbu je v počiatočných štádiách nutné bábätko navyknúť, pričom s odstupom času je nevyhnutné, aby helmu na zležanú hlavičku nosilo aspoň 23 hodín denne. Liečba sa implementuje väčšinou pri stredných až ťažkých prípadoch preležania hlavičky, no ide o účinnú metódu. Každý prípad zležanej hlavičky bábätka je individuálny, a preto si vyžaduje špecifický prístup odporučený lekárom.
Vojtova metóda
Vojtova metóda pre bábätká je v Čechách a na Slovensku, no dnes vo veľkom už aj v zahraničí, veľmi dobre známym terapeutickým postupom. Ide o osvedčený spôsob cvičenia s deťmi, ale svoje uplatnenie si nájde aj pri dospelých pacientoch. Vďaka presne určeným polohám a pohybom sa prirodzene stimuluje pohyb celého tela, pričom sa aktivizuje nervová sústava. Vďaka Vojtovej metóde sa cvikmi postupne eliminujú obmedzenia, stimuluje sa nervová sústava a vďaka tomu aj pohybový aparát. V súvislosti s bábätkami sa využíva hlavne pri deťoch, kde je pozorovateľný nedostatok v koordinácii, prejavuje sa neoptimálny tonus svalov a objavujú sa limity pri pohybe bábätka. Často je určená ako prevencia predčasne narodeným deťom. Cieľom vyvinutia Vojtovej metódy je tiež to, že sa efektívnym spôsobom počas terapie príde na to, aké sú u bábätka problémy v súvislosti s motorikou, svalovým tonusom či pohybovým aparátom.
Indikácie: Vojtova metóda sa v prípade, že je na to dôvod, môže cvičiť už od narodenia. Typickým príkladom sú práve predčasne narodené deti, u ktorých sa tieto cviky využívajú ako optimálna terapia a prevencia, pretože je tu predpoklad, že motorické schopnosti sú menej rozvinuté v dôsledku nedostatočného vývoja už v maternici. Častými pacientmi sú bábätká, u ktorých lekár (pozn. neurológ) na základe diagnostiky usúdi, že majú istú koordinačnú poruchu, znížený alebo zvýšený svalový tonus, motorický vývoj je oneskorený, objavujú sa odchýlky v pohybovom prejave dieťaťa, sú skrátené svaly krku, dieťa má odchýlky pri pohybe s hlavičkou a mnoho iného.
Dôležité upozornenie: Rozhodne nie je vhodné realizovať Vojtovu metódu svojpomocne na základe videí z internetu. Každé dieťa má iný zdravotný problém a iba odborník - terapeut dokáže stanoviť správny tlak, pohyb a polohu pre prevedenie daného cviku. Rodič sa môže cviky naučiť pozorovaním. V niektorých prípadoch môže fyzioterapeut s kurzom naučiť rodiča cvik precvičovať aj doma. Rodič sa zaučí, pričom najskôr dané cvičenia vykonáva pod dohľadom a až následne je možné cviky vykonávať svojpomocne. Vojtova metóda je vedecky podložená fyzioterapeutická liečba. Vykonáva ju školený odborník so špecializovaným kurzom. Vojtovu metódu vám najčastejšie odporučí lekár, pričom sa môžete obrátiť na súkromných fyzioterapeutov alebo špecializované rehabilitačné pracoviská, kde sú zamestnanci školení kurzom Vojtovej metódy. Využitie tejto metódy vždy určuje lekár - odborník.
Prípad dieťaťa s anomáliou na chrbte
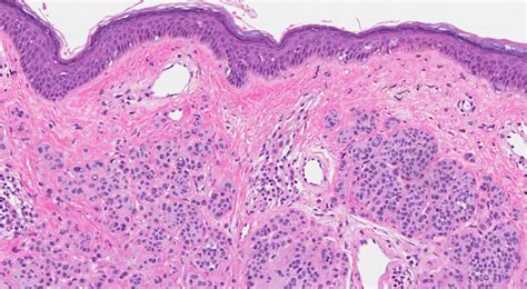
Jedným z menej častých, no o to viac fascinujúcich prípadov, je narodenie dieťaťa s vrodenou anomáliou na chrbte. V jednom takomto prípade, ktorý sa odohral v Indii, sa dieťatko narodilo s tmavým, jemnými vlasmi pokrytým chrbtom, ktorý tvoril približne 70 % jeho tela. V hornej časti chrbtice malo dokonca obrovskú bradavicu. Lekári diagnostikovali dieťaťu ochorenie zvané obrovský vrodený melanocytový nevus. Toto ochorenie spôsobuje tmavé, nerakovinové škvrny na koži, tvorené bunkami produkujúcimi pigment nazývaný melanocyt. Takéto prípady vyžadujú špecializovanú lekársku starostlivosť a často aj chirurgické zákroky.

Starostlivosť o predčasne narodené deti po prepustení z nemocnice
Obdobie pobytu predčasniatka v nemocnici nie je jednoduché ani pre jeho rodičov. Zažívajú strach, obavy o svoje dieťa, každý deň sú zasypaní množstvom nových informácií o zdravotnom stave, pozitívnych aj menej pozitívnych. Pre rodičov a rovnako aj pre ich dieťa je nesmierne dôležitý vzájomný kontakt. Väčšina centier tento vzájomný kontakt podporuje a rodičia, hlavne matky, sú neoddeliteľnou súčasťou tímu, ktorý sa o bábätko stará. Kontakt koža na kožu, tzv. bonding, je pre dieťa mimoriadne dôležitý.
Extrémne nedonosení novorodenci sa domov z nemocnice dostávajú po dlhých týždňoch až mesiacoch, dĺžka hospitalizácie sa u nich pohybuje okolo 8 až 12 týždňov. Vo väčšine prípadov sú prepúšťaní do domáceho prostredia niekedy okolo termínu plánovaného pôrodu. Prognóza nedonosených novorodencov závisí od gestačného týždňa, v ktorom sa narodili a pridružených popôrodných komplikácií. Aj keď sa v ostatných rokoch starostlivosť o predčasne narodených novorodencov a ich prognóza dramaticky zlepšila, novorodenci pod 28. týždňom tehotenstva stále čelia vyšším rizikám.
Po prepustení do domácej starostlivosti sú nedonosení novorodenci pod dohľadom mnohých odborníkov - pneumológov, neurológov, oftalmológov a iných špecialistov. V Nemocnici Bory poskytujú špecializovanú starostlivosť o predčasne narodené deti aktuálne od ukončeného 32. týždňa tehotenstva. Ako jediní v strednej Európe disponujú 10 samostatnými, tzv. rooming-in jednotkami pre matku a dieťa, kde matky získavajú pocit väčšej istoty a rýchlejšie sa naučia porozumieť potrebám svojho bábätka. Materské mlieko je pre predčasne narodené deti mimoriadne dôležité. Pravidelné lekárske kontroly sú veľmi dôležité v ďalšej starostlivosti o predčasne narodené deti aj po prepustení z JIS. Pravidelné vyšetrenia pediatrom, fyzioterapia, očkovania a prípadné špeciálne terapie sú súčasťou ich dlhodobej liečby. Aj v Nemocnici Bory majú ambulanciu pre predčasne narodených a rizikových novorodencov. Spolupracujú taktiež s rodičovskou organizáciou OZ Malíček ako aj s Centrom včasnej intervencie, ktorých cieľom je poskytnutie podpory a poradenstva rodinám detí s rizikovým vývojom.
Vrodené reflexy bábätka a ich význam
Vrodené, inak primitívne reflexy sú dôležitá výbava každého novorodeniatka. Ide o automatické pohyby, svalové reakcie na podnety a stimuláciu, ktoré bábätko vykoná nedobrovoľne, bez vôle, bez uvedomenia a kontroly. Bábätku pomáhajú prežiť. Vyvíjajú sa už v maternici a pôvod majú v novorodeneckom mozgovom kmeni. Keď sa novorodenec narodí, vykonáva sa kontrola týchto reflexov v rámci klasického neurologického vyšetrenia bábätiek, aby sa posúdil správny psychomotorický vývoj. Sú tiež rozhodujúce pre diagnostiku prípadných porúch centrálneho nervového systému (CNS) - napr. u predčasniatok môžu byť niektoré z vrodených reflexov buď nie prítomné, alebo nedovyvinuté. O neurologickej poruche môže svedčiť aj prítomnosť vrodeného reflexu v dobe, kedy tu už nemá byť, a stojí tak za spomalením psychomotorického vývoja, čo môže viesť k ťažkostiam s hrubou aj jemnou motorikou a koordináciou, rovnako napr. k poruchám učenia a správania. Postupne s dozrievaním CNS väčšina z vrodených reflexov „vymizne“ - nezmiznú úplne, ale sa potlačia, resp. zapoja do pohybových stereotypov dieťatka - tentokrát vedomých pohybov a reakcií riadených mozgom a vôľou.
Niektoré z reflexov:
- Morov reflex: Rodičia ho poznajú ako reflexívnu reakciu na náhly, rýchly pohyb, úľak pri náhlom zvuku. Dieťatko v rýchlosti rozhodí a vystrie ruky a nohy, môže začať plakať. Prítomný je tento reflex už v maternici, vyvíja sa postupne od 28. tt a pretrváva do približne 3. mesiaca veku, postupne sa integruje.
- Sací, prehĺtací a hľadací reflex: Od približne 28. - 32. tt sa začínajú rozvíjať jedny z najdôležitejších reflexov u dieťaťa - sací a prehĺtací reflex (orálne reflexy), plne rozvinuté nie sú až do 36. týždňa tehotenstva. Hľadací reflex si všimnete vtedy, keď rukou prejdete bábätku po líčku alebo okolí ústočiek a ono za vami obráti hlavičku. Rovnako tento reflex vymizne do 3. mesiaca veku.
- Úchopový reflex: Keď vložíte do dlane dieťatku prst, zovrie ruku. Dokonca tak pevne, že by ste ho mohli zdvihnúť z podložky. Objavuje sa už v brušku - vyvíja od približne 26. - 28. týždňa tehotenstva a vymiznúť by mal voľne do 3. mesiaca veku dieťatka. Okolo 5. mesiaca sa totiž objavuje vedomý úchop, kedy dieťa postupne začne chytať veci do ručičiek.
- Reflexná chôdza: Ak lekár či lekárka chytia bábätko pod pazuchami a dotkne sa podložky nožičkami, automaticky nimi začne pohybovať tak, akoby kráčalo. Ide o nedobrovoľné pohyby. Vyvinie sa už v brušku, približne v 37. týždni tehotenstva a integrovať by sa mal do 3. mesiaca veku bábätka.
- Babinského reflex: Ak sa dotknete novorodencovej nožičky pod prstíkmi, zovrie ich. Ak ho pohladíte v mieste pätičky po okraji chodidla, roztiahne prsty do vejára. Reflex vymizne v dobe okolo 16. - 18. mesiaca veku dieťaťa. Ak pretrváva, môže to svedčiť o závažnom poškodení CNS.
Podpora psychomotorického vývoja predčasne narodených detí
Vývin dieťatka sa nezačína až narodením, rovnako podstatným je aj čas u maminky v brušku. Prostredie vo vnútri maternice má špecifické vlastnosti, plodová voda ho nadnáša, tlmí vnem z okolia, obklopuje ho stena maternice, do ktorej môže zatláčať, vnímať to ohraničenie. Čas pred narodením má vo vývine svoj zmysel, takže samozrejme dieťatku chýba, keď sa z rôznych príčin narodí skôr. Veľmi podstatným rozdielom je práve možnosť zatláčať, cítiť kompresiu na telo zo všetkých strán, vnímať hranicu, ktorú tvorí stena maternice. Tiež mu chýba čas na dlhšiu prípravu na stretnutie so všetkými podnetmi vonkajšieho sveta, dozretie nervového systému a ďalších systémov, ktoré v tele zabezpečujú rôzne funkcie.
Pri úvahách o situácii predčasne narodených detí sa zamýšľame nad obdobím, ktoré deti nemohli stráviť vo svojom prirodzenom prostredí. Pre niektoré je to mesiac, ale pre niektoré to môže byť aj väčšina posledného trimestra. V poslednom trimestri dieťa rastie a priestor maternice vytvára z týždňa na týždeň obmedzenejšie prostredie. A práve toto obmedzujúce prostredie vytvára podmienky pre prípravu organizmu na pôrod a život po narodení. Kompresia a uvoľnenie, ktoré sa aktivizujú pohybom voči odporu, sú nevyhnutné pre tonizáciu tráviaceho traktu a flexorov vo forme tzv. fyziologickej flexie a nervového systému a extenzorov tela vo forme tzv. fyziologickej extenzie. Práve dokonalé vyzretie oboch týchto celotelových reflexov sa prejavuje v zbalenej polohe bábätka po narodení, s končatinami pritiahnutými k telu a zaobleným chrbátikom, keď ich držíme bruškom dolu. Bábätká, ktoré sú narodené predčasne, nemajú takú silnú flexiu a pri rovnakom držaní im končatiny voľne visia dolu. A práve dobre vyvinutá fyziologická flexia a extenzia vytvára pre dieťa základ vývinu a regulácie nervového systému, optimálneho fungovania fyziologických procesov: trávenia, dýchania, rytmus bdenia a spánku, pod.
Predčasne narodené bábätká trávia po príchode na svet dni, týždne, niektoré až mesiace v inkubátoroch, kým sa dostanú do náručia rodiča. Po príchode domov je dôležité dopriať si čas na postupné udomácnenie sa spolu s bábätkom. Je dobré začať pozorovaním, ako bábätko zvláda nové podmienky, čo potrebuje, ako reaguje. Z toho sa nám môže ukázať, ako ho môžeme podporiť. Samozrejme situácia sa bude veľmi líšiť podľa toho, akú zdravotnícku starostlivosť dieťatko potrebuje, či má hneď od začiatku nejaké špeciálne témy, ktoré potrebujeme adresovať. Tiež budú mať iný pohľad skúsení rodičia, ktorí už doma majú staršie dieťa či deti a noví rodičia, pre ktorých je všetko neznáme. Je dobré mať na pamäti, že pre bábätko je tiež všetko nové a mnohé podnety sú pre neho silné. Aj keď už má za sebou pobyt v nemocnici, o to viac teraz potrebuje pokoj, spomalenie a stlmenie, ak je to možné. Podporí ho veľa láskavých dotykov, pomalý pohyb spolu s rodičmi, postupné zoznamovanie sa s okolím. Najlepším ukazovateľom je samotné dieťatko, ktoré vám dá najavo, čo zvládne a kedy naopak potrebuje spomaliť. Dôležité je tiež vnímať, ako to zvládate vy, rodičia a aká podpora by vám pomohla. Starostlivosť o malé bábätko je náročná a pri predčasne narodenom dieťatku to môže byť ešte ťažšie.
Za naozaj dôležité sa považuje prispôsobiť svoje tempo dieťatku a jeho potrebám. Pomalý a plynulý pohyb vždy, keď nám to situácia dovolí. Bábätko nerozoznáva “cvičenie” a ostatný pohyb, keď ho zdvíhame, prenášame, prebaľujeme, kŕmime a podobne. Pre neho je všetko rovnako dôležité, preto by sme to aj my mohli využiť a každej chvíli s ním venovať vedomú pozornosť. Spomalenie je zásadné preto, aby sme nechtiac u dieťatka nevyvolávali úľakové reakcie a najmä ponúkli jeho telu čas na spracovanie všetkého, čo sa s ním deje. Takýto pasívny pohyb, keď s dieťatkom hýbeme, mu prináša množstvo skúseností, ktoré sa stávajú základom pre jeho ďalší samostatný pohyb. Môžeme ho podporiť polohovaním na podložke na všetkých štyroch stranách - na chrbátiku, na brušku aj oboch bôčikoch. Môžeme si pri tom k nemu ľahnúť, jemne ho hladkať po tele, aby vnímalo našu prítomnosť a podporu. Stačia krátke niekoľkominútové chvíľky, nemusíme čakať, až kým nám nepokojom či plačom dá najavo, že už má dosť. Celkovo je dôležité vždy vystihnúť takú pohodovú chvíľu, keď chceme s dieťatkom niečo cielene robiť. Ak je rozrušené, unavené, hladné alebo má nejaký fyziologický problém, jeho nervový systém je zamestnaný snahou túto situáciu zvládnuť a nemá kapacitu sa nič nové učiť. Preto je pre toto prvé obdobie tak zásadné hľadať vzájomné vyladenie, skúmať, čo naše dieťatko dokáže upokojiť, ako oddychuje, čo ho zaujíma. Podporí ho aj nosenie v “klbku”, čo je poloha na rukách, keď máme bábätko zabalené okolo pupčeka, pričom panva a nôžky smerujú dopredu a hore. Dieťatko vytvorí také klbôčko, o naše telo je opreté chrbátikom alebo bokom. Celkovo nosenie dieťaťa na rukách je veľmi dôležité, najmä, keď nám bábätko plačom dáva najavo, že potrebuje našu prítomnosť. Vyhýbať sa treba príliš rýchlym a akčným pohybom a celkovo príliš veľkej intenzite podnetov. Nikdy to nemôžeme prehnať s citlivým prístupom. Nervový systém netreba trénovať na rýchle tempo nášho života, ale naopak, čím väčší pokoj a priestor na prirodzenú postupnosť vývinu dieťatku na začiatku vytvoríme, tým bude neskôr silnejšie a bude odvážnejšie do sveta vstupovať.
Je dôležité neposadzovať dieťatko nasilu, nedávať ho do rôznych chodiacich "pomôcok", neťahať ho za ruky do včasnej chôdze a pod. Program a postupnosť pohybového vývinu máme v sebe nastavené už pri narodení. Práve tá postupnosť je veľmi dôležitá, pretože jednotlivé fázy vývinu na seba nadväzujú a tiež sa vzájomne podporujú. Jednotlivé fázy sa neobjavujú lineárne, ale v prelínajúcich sa vlnách.
Správnym narábaním dokážeme bábätku pomôcť v jeho psychomotorickom vývoji, ktorý je v prípade predčasniatok v dôsledku ich skorého príchodu na svet rizikovou oblasťou. Je dôležité všímať si, ako sa dieťatko má, ako sa dokáže upokojiť, ako zvláda základné funkcie ako papanie, trávenie, vylučovanie, spánok. Môžeme pozorovať aj vnímanie, reakcie na hračky či ľudí, či ho niečo rýchlo rozruší a má potom problém sa upokojiť, či ho zaujímajú nové podnety. Rovnako je dobré pozorovať pohyb - či sa nám zdá vyvážený, alebo či si všímame, že napríklad jedna strana je výrazne aktívnejšia ako druhá, či zvláda polohovanie na všetkých štyroch stranách alebo nám na niektorej strane dáva najavo výrazný nepokoj. Všeobecne by som povedala, že je dobré všímať si všetko, čo sa nám zdá “čudné” či príliš veľa alebo málo intenzívne. Nemusí nás znepokojiť, keď sa to občas objaví, ale ak to pozorujeme dlhší čas a nemení sa to k lepšiemu, adresovala by som svoje otázky niekam ďalej. Taktiež je na mieste vyhľadať odborníka, ktorý rodičom situáciu vysvetlí a podporí ich. Odborníci tu nie sú len pre prípad problémov, ale aj ako prevencia a podpora, aby spolu s rodičmi našli ten najvhodnejší spôsob ako dieťatku pomôcť napredovať vo vývine. Ide o podporu celej rodiny, aby rodičia nemuseli byť so svojimi obavami sami, ale postupne získavali stále lepšiu orientáciu a kompetencie na podporu celej situácie s bábätkom. S otázkami na pohybový vývin sa rodičia môžu obrátiť aj na odborníkov.
Pravidelné rehabilitácie niekoľkokrát do dňa sa často stávajú súčasťou života mladých rodín, uvedomujúc si, že od toho závisí budúcnosť ich malého predčasniatka. Dôležitý je individuálny prístup k tomu, čo je pre bábätko naozaj prospešné a ako to môžeme robiť. Príroda pre dieťa navrhla posledný trimester v obmedzenom prostredí maternice, aby sa dovyvinuli všetky orgány na neskoršie fungovanie. Dieťa tu reaguje na svoje potreby a maternica mu dáva odozvu formou kompresie - protitlaku, ale aj matkin systém sa realizuje (dýchanie, pohyby orgánov, pohyb) a dieťa naň reaguje. Čiže vývin je založený vždy na vzťahu. Dieťa si tu aktívne vyberá, reaguje a tým sa učí. Ak využívame v terapii nástroje prebraté z prirodzených procesov, dieťa podpore rozumie, lebo ho posilňuje.
Situácia predčasne narodeného bábätka môže byť náročnejšia a preto bude potrebovať viac cielenej a vedomej podpory. Veľmi záleží od konkrétnych aspektov, ktoré túto situáciu tvoria. Či dieťatko potrebuje medicínske zásahy, koľko energie potrebuje venovať vnútorným procesom, ako sa adaptuje v novej situácii. Práve preto je vhodné poradiť sa s odborníkmi, aby potom spolu s rodičmi nastavili formy ďalšej intervencie. Do toho spadá aj "cvičenie". Je dôležité venovať aj podpore pohybu vedomú pozornosť, pretože to môže byť veľmi nápomocné pri regulácii telesných funkcií ako trávenie, vylučovanie, spánok, vnímanie, regulácia nervového systému a pod. A samozrejme tým vytvárame aj dobrý základ pre ďalší pohybový vývin dieťatka. Práve spolu s odborníkmi môžu rodičia situácii svojho dieťatka lepšie porozumieť, rozoznávať jeho silné stránky a oblasti, kde potrebuje viac podporiť a na to sa následne zamerať.
tags: #narodene #dieta #s #hrobom #na #chrbte
